The Diagnostic Imaging Blog
…to help you learn diagnostic imaging pearls for common primary care presentations.
✨ Join NP Reasoning for weekly diagnostic imaging insights to strengthen your practice ✨
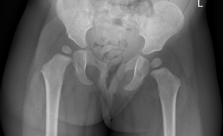
Developmental Dysplasia of the Hip (DDH): Diagnostic Imaging with Ultrasound vs. X-Ray
Learn the pros and cons of physical exam maneuvers, high risk features, and diagnostic imaging pearls for suspected developmental dysplasia of the hip (DDH).
Read time: 4-5 minutes
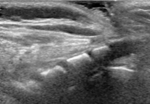
Sacral Dimples and Diagnostic Imaging
Learn when, and when NOT to order ultrasound for sacral dimples.
Read time: 3-4 minutes
Join the Masterclass
Join 1000s of Nurse Practitioners improving their clinical reasoning
Free Community
Explore NP Reasoning at no cost.
$0
/month
Start free • Upgrade anytime
- Weekly newsletter: succinct clinical updates + diagnostic pearls
- Access to select diagnostic imaging and primary care update videos
Masterclass
Master diagnostic reasoning & stay ahead of the curve
$6.67
/month
$79.99 billed yearly
Save $15.89 per year (≈ 2 months free)
- Comprehensive weekly newsletter with guideline updates, clinical cases, and diagnostic approaches
- Access to an on-demand video library on diagnostic imaging and primary care topics
- 25% off charting templates + course discounts

